O sistema
endócrino é composto por glândulas responsáveis pela produção de hormônios que
serão lançados no sangue, por meio do qual atingira os órgãos-alvo. As seguintes
glândulas constituem este sistema:
A hipófise é dividida em duas porções, a Adenohipófise que produz, armazena e
libera hormônios e a neurohipófise
que armazena e libera hormônios. A adenohipófise é subdividida em Pars distals ou lobo anterior que é a
parte principal da glândula; Pars
intermédia ou lobo intermediário, o qual separa a pars distals da
neurohipófise e Pars tuberalis que
envolve o infundíbulo.
A adenohipófise
é constituída por células cromófobas
que possuem poucos grânulos e não se coram e por células cromófilas que apresentam grânulos com afinidades por corantes
histológicos podendo ser acidófilas
ou basófilas.
Os seguintes tipos celulares acidófilas são: somatotróficas, produtoras do hormônio
do crescimento; e mamotróficas, produtoras
do hormônio prolactina. Enquanto que as células basófilas são: corticotróficas, produtoras de
hormônios adrenocorticotróficos; tireotróficas,
produtoras do hormônio estimulante da tireoide; e as gonadotróficas que produzem hormônio folículo estimulante (FSH) e
hormônio luteinizante (LH). Em alguns animais, exceto a espécie humana, a Pars
Intermedia produz o hormônio melanotrófico.
A Neurohipófise é subdividida em Pars nervosa, Infundíbulo e eminência mediana.
Na Neurohipófise encontram-se os Pituícitos
que são células com prolongamentos, sem características secretoras; e os Corpos de Herring que são estruturas
compostas por acumulo de hormônios.
A Tireoide é uma glândula encontrada na
altura do pescoço e é composta por dois lobos
conectados por um istmo. Estes lobos
são constituídos por várias unidades denominadas folículos tireoideanos. Esses folículos são compostos por células
cúbicas denominadas células foliculares,
as quais delimitam um espaço preenchido por um material amorfo, o colóide, constituído por uma proteína
chamada tireoglobulina. Limitando o folículo há lâmina basal. Próximo a lâmina
basal e a célula folicular encontra-se a célula
parafolicular que possui formato arredondado com função de sintetizar
calcitonina. A tireoide produz e libera os hormônios T3 e T4 que regulam o metabolismo
celular.
As glândulas Paratireóides (dispostas em número de
quatro) são compostas por células
principais com formato arredondado, núcleo condensado e citoplasma basófilo.
Essas células são produtoras do Paratormônio (regulador do nível de cálcio e
fosfato presente no sangue). Além das células principais, há células oxifilicas, que possuem função
desconhecida.
As glândulas Adrenais ou Supra-renais, localizadas
sobre os rins, são envolvidas por uma cápsula e divididas em região cortical e medular. A região cortical
é subdividida em três zonas. Abaixo da cápsula e observado a zona glomerular, constituída por
pequenas células colunares dispostas em cordões e grupos bem corados, apresenta
núcleos pequenos e escuros que contém um ou dois nucléolos, seu citoplasma é
acidófilo e possui a função de sintetizar mineralocorticoides (Aldosterona).
A segunda é a zona fasciculada que é a camada
intermediária do córtex, contém capilares sinusóides dispostos
longitudinalmente entre colunas de células parenquimatosas, suas células são
denominadas espongiócitos, sendo esses poliédricos e maiores que as células da
camada glomerulosa e possuem a função de produzir glicocorticoides (cortisol e
corticosterona).
A camada mais
interna do córtex é a zona reticulada, que
é constituída por células acidófilas dispostas em cordões que se anastomosam.
São células menores que os espongiócitos e sua função é produzir andrógenos. A região
medular é constituída por células
cromafins organizadas em cordões, envolvidas por uma rede de fibras
musculares e vasos sanguineos, produtoras as catecolaminas (adrenalina e
norodrenalina)
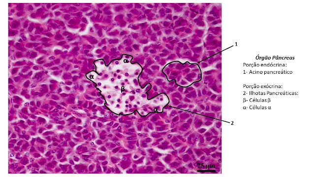
O Pâncreas é uma glândula mista formada
por uma porção endócrina e uma porção exócrina. A porção endócrina é composta
pelas Ilhotas de Langerhans, constituídas
por quatro tipos de células. Dentre esses tipos destacam-se as células β, que são as mais numerosas,
localizadas no centro da ilhota e responsáveis pela síntese de insulina; células α, localizadas na periferia das
ilhotas e sintetizam glucagon, porém ainda encontram-se na mesma as células δ produtoras de somatostatina,
glucagon e hormônio do crescimento e as células
PP que sintetiza polipeptídeo pancreático exclusivo do pâncreas.
Já a porção
exócrina do pâncreas é formada por acino seroso e um sistema de ductos.
A glândula Pineal ou epífise é localizada no
encéfalo e é constituída por Pinealócitos
que são células produtoras de melatonina; Astrócitos
e areia cerebral. Esta glândula possui
as seguinte funções: percepção de estímulos luminosos, controle do ritmo
cardíaco, puberdade e da atividade sexual sazonal em alguns animais.

Nenhum comentário:
Postar um comentário